A hérnia de disco cervical ocorre quando o disco intervertebral — estrutura que funciona como um amortecedor entre as vértebras do pescoço — se rompe ou se desloca, pressionando nervos ou a medula espinhal.
Na maioria dos casos, o tratamento conservador — com fisioterapia, analgésicos e repouso — é suficiente para aliviar os sintomas. Mas em algumas situações, a cirurgia se torna necessária para evitar sequelas permanentes.
Neste artigo, você vai entender o que é a hérnia de disco cervical, quais são os sintomas que indicam necessidade de cirurgia, os tipos de cirurgia disponíveis e como é a recuperação pós-operatória.
Sente dor no pescoço com irradiação para os braços?
Agende uma avaliação com o Dr. Bruno Saciloto, neurocirurgião especialista em coluna cervical.
Por que agendar uma consulta com o Dr. Bruno Saciloto?
Ao enfrentar problemas na coluna ou sintomas neurológicos, contar com um neurocirurgião experiente e atualizado é fundamental para garantir segurança e bons resultados.
O Dr. Bruno Saciloto une mais de 15 anos de experiência como neurocirurgião com uma atuação baseada em inovação, precisão técnica e cuidado individualizado.
1. Formação sólida e especialização reconhecida
- Graduação em Medicina pela Universidade de Caxias do Sul (RS)
- Residência em Neurocirurgia pela PUC-PR, no Hospital Cajuru
- Mestrado em Neurocirurgia pela Universidade de Caxias do Sul (RS)
- Membro titular da Sociedade Brasileira de Neurocirurgia
2. Experiência cirúrgica ampla e comprovada
- Mais de 6.000 cirurgias realizadas ao longo da carreira
- Mais de 15 anos como neurocirurgião
- Atuação em hospitais de referência no Brasil
- Coordenação do Serviço de Neurologia e Neurocirurgia do Hospital São Vicente de Paulo (Guarapuava/PR)
3. Domínio de técnicas modernas e minimamente invasivas
- Especialização em Cirurgia Endoscópica da Coluna
- Atuação com técnicas menos agressivas, que aceleram a recuperação
- Planejamento cirúrgico individualizado
- Foco em reduzir riscos e melhorar o conforto do pós-operatório
4. Reconhecimento internacional e educação contínua
- Tutor oficial no programa AO Spine (Continuous Education Program), referência mundial em cirurgia da coluna
- Participação regular em congressos, cursos práticos e cadaver-labs no Brasil e no exterior
- Fellow Observer na Duke University (EUA), uma das instituições mais respeitadas do mundo
5. Atendimento humano e focado no que realmente importa
Mais do que conhecimento técnico, o cuidado com o paciente é o que guia cada consulta. O Dr. Bruno valoriza:
- Explicações claras, sem linguagem técnica excessiva
- Escuta ativa e atenção ao histórico individual de cada pessoa
- Indicação cirúrgica apenas quando realmente necessária
- Acompanhamento pós-operatório cuidadoso e presente
O foco é oferecer alívio, segurança e qualidade de vida em cada etapa do processo.
Pronto para dar o primeiro passo?
Entre em contato e agende sua consulta com o Dr. Bruno Saciloto.
O que é a hérnia de disco cervical
A coluna cervical é formada por sete vértebras (C1 a C7), separadas por discos intervertebrais que funcionam como amortecedores. Quando o núcleo gelatinoso interno desse disco rompe a camada externa e comprime estruturas nervosas, ocorre a hérnia de disco cervical.
Essa compressão pode afetar as raízes nervosas — causando dor, formigamento e fraqueza no braço — ou a própria medula espinhal, situação mais grave chamada mielopatia cervical.
Causas mais comuns da hérnia cervical:
- Degeneração natural do disco com o envelhecimento
- Movimentos repetitivos ou posturas inadequadas por longos períodos
- Traumas e acidentes (batidas no pescoço, "chicotada cervical")
- Sobrecarga da coluna por esforço físico intenso
- Fatores genéticos e predisposição familiar
A maioria das hérnias cervicais ocorre nos segmentos C5-C6 e C6-C7, que são os mais móveis e sujeitos a maior desgaste.
Com dor no pescoço irradiando para os braços?
O diagnóstico correto é o primeiro passo para o alívio.
Quando a hérnia cervical tem indicação cirúrgica
A grande maioria das hérnias de disco cervical melhora com tratamento conservador em 6 a 12 semanas. Porém, existem situações em que a cirurgia é necessária para evitar danos permanentes.
A cirurgia é indicada principalmente quando:
- Os sintomas persistem por mais de 6 semanas mesmo com tratamento conservador adequado
- Há fraqueza muscular progressiva no braço ou na mão
- O paciente apresenta sinais de mielopatia cervical (compressão da medula)
- A dor é muito intensa e incapacitante, prejudicando as atividades diárias
- Há déficit neurológico instalado (perda de sensibilidade ou força)
- A ressonância magnética mostra compressão grave das estruturas nervosas
A decisão pela cirurgia é sempre individualizada. O neurocirurgião avalia o quadro clínico, os exames de imagem e o histórico do paciente antes de qualquer indicação.
Importante: a cirurgia não é o único caminho. Mas quando indicada, ela pode ser a diferença entre recuperar a função neurológica ou desenvolver sequelas permanentes.
Mielopatia cervical: o sinal de alerta mais grave
A mielopatia cervical ocorre quando a hérnia de disco ou a degeneração da coluna comprime a medula espinhal — e não apenas as raízes nervosas. Essa é uma condição mais séria e exige atenção imediata.
Sintomas que podem indicar mielopatia cervical:
- Dificuldade para caminhar ou instabilidade ao andar
- Fraqueza nas mãos com dificuldade para pegar objetos pequenos
- Alteração na coordenação motora fina (escrever, abotoar roupas)
- Formigamento ou dormência generalizada nos membros
- Sensação de choque elétrico na coluna ao flexionar o pescoço (Sinal de Lhermitte)
- Dificuldade para controlar a bexiga ou intestino (casos avançados)
A mielopatia cervical é progressiva. Quanto mais tempo a medula fica comprimida, maiores as chances de dano permanente. Por isso, quando esse quadro é identificado, a cirurgia costuma ser indicada com urgência.
O diagnóstico é feito com ressonância magnética, que mostra o grau de compressão e se há sinal de lesão medular.
Apresenta dificuldade para andar ou fraqueza nas mãos?
Esses sinais pedem avaliação urgente com um neurocirurgião.
Sintomas que exigem avaliação especializada
Alguns sintomas da hérnia de disco cervical podem parecer simples no início, mas evoluem rapidamente. Saber identificar os sinais de alerta é fundamental para buscar ajuda no momento certo.
Procure um neurocirurgião se você apresentar:
- Dor no pescoço que irradia para o ombro, braço ou mão
- Formigamento ou dormência nos dedos das mãos
- Fraqueza muscular no braço ou perda de força na mão
- Dor que piora à noite ou que não melhora com repouso
- Dificuldade para movimentar o pescoço
- Dor que não melhora após semanas de fisioterapia e medicamentos
Esses sintomas podem indicar compressão de raiz nervosa ou da medula. Quanto mais cedo o diagnóstico for feito, maiores as chances de recuperação completa sem cirurgia — ou com cirurgia menos complexa, caso ela seja necessária.
Hérnia cervical aguda: quando a urgência é maior
A hérnia cervical aguda é aquela que surge de forma súbita — muitas vezes após um esforço, trauma ou movimento brusco. Nesses casos, os sintomas costumam ser mais intensos e podem evoluir rapidamente.
Características da hérnia cervical aguda:
- Início súbito com dor intensa no pescoço e braço
- Fraqueza muscular que pode surgir em horas ou dias
- Dificuldade para movimentar o pescoço em qualquer direção
- Possível déficit neurológico instalado desde o início
Na hérnia aguda com sinais neurológicos, o tempo de avaliação e tratamento é crítico. A demora pode resultar em lesão permanente do nervo ou da medula.
Nesses casos, o neurocirurgião pode indicar cirurgia de urgência para descomprimir as estruturas nervosas e preservar a função neurológica.
Iniciou com dor súbita no pescoço e fraqueza no braço?
Não espere. Procure avaliação especializada com urgência.
Quais exames são usados para confirmar a indicação cirúrgica
Para definir se a cirurgia é necessária, o neurocirurgião utiliza uma combinação de avaliação clínica e exames de imagem. Não basta apenas a imagem mostrar uma hérnia — ela precisa estar correlacionada com os sintomas do paciente.
Principais exames utilizados:
- Ressonância Magnética (RM) da coluna cervical: exame principal para avaliar o disco, as raízes nervosas e a medula espinhal. Mostra o grau e a localização da compressão.
- Tomografia Computadorizada (TC): complementa a ressonância em casos de dúvida ou quando há necessidade de avaliar as estruturas ósseas com mais detalhe.
- Eletroneuromiografia (ENMG): avalia o funcionamento dos nervos periféricos e ajuda a identificar quais raízes estão comprometidas.
- Radiografia da coluna cervical: avalia o alinhamento vertebral e possíveis alterações degenerativas ósseas.
O conjunto desses exames, aliado ao exame físico e neurológico detalhado, permite ao neurocirurgião definir o melhor plano de tratamento — seja conservador ou cirúrgico.
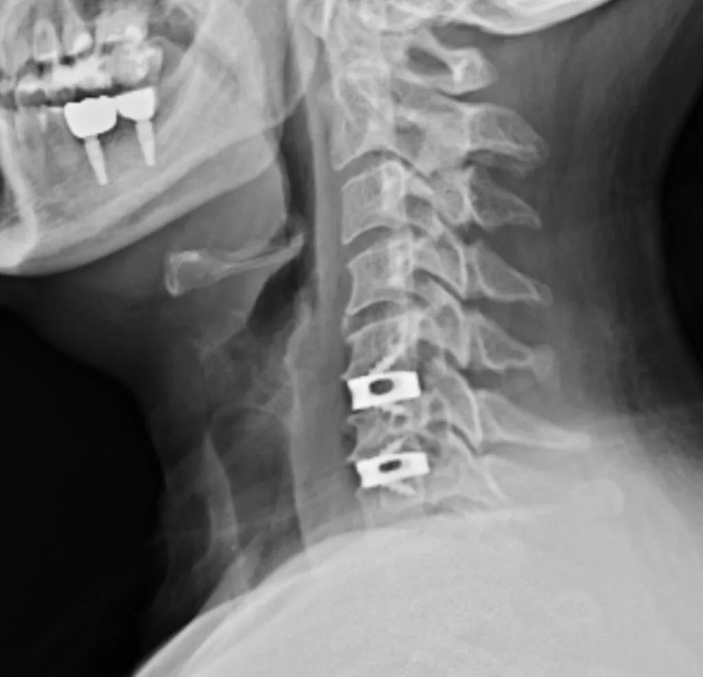
Tipos de cirurgia para hérnia de disco cervical
Quando a cirurgia é indicada, existem diferentes técnicas disponíveis. A escolha depende do nível afetado, da intensidade da compressão, da presença de mielopatia e das condições gerais do paciente.
1. Discectomia cervical anterior com fusão (ACDF)
É a técnica mais utilizada para hérnia cervical. Realizada pela parte frontal do pescoço, o disco afetado é retirado e substituído por um espaçador (cage) que promove a fusão das vértebras. Tem alta taxa de sucesso e boa evolução.
2. Prótese de disco cervical (artroplastia)
Alternativa à fusão, a prótese preserva o movimento da coluna. Indicada para casos selecionados, especialmente em pacientes mais jovens com doença em um único nível.
3. Discectomia cervical posterior
Realizada pela parte posterior do pescoço, é indicada em casos específicos de hérnia lateral (para-central), onde a compressão é mais lateral.
4. Laminoplastia ou laminectomia cervical
Indicada principalmente nos casos de mielopatia cervical com compressão em múltiplos níveis. O procedimento amplia o canal vertebral para descomprimir a medula espinhal.
O Dr. Bruno Saciloto avalia cada caso individualmente para indicar a técnica mais adequada, considerando o perfil do paciente, o nível afetado e os objetivos do tratamento.
Quer saber qual cirurgia é indicada para o seu caso?
Agende uma avaliação e receba orientação personalizada do Dr. Bruno Saciloto.
Como é a recuperação após a cirurgia cervical
A recuperação da cirurgia de hérnia de disco cervical depende da técnica utilizada e da condição clínica do paciente antes da operação. De modo geral, a evolução costuma ser positiva e progressiva.
O que esperar no pós-operatório:
- A maioria dos pacientes recebe alta hospitalar em 1 a 2 dias
- O alívio da dor no braço costuma ser rápido — muitas vezes já nas primeiras horas após a cirurgia
- A dor no pescoço pode persistir por alguns dias, melhorando gradualmente
- O uso de colar cervical pode ser indicado por curto período, conforme cada caso
- Fisioterapia é iniciada após liberação médica para reforçar a musculatura cervical
- Retorno às atividades leves em 2 a 4 semanas, atividades físicas mais intensas em 6 a 8 semanas
Resultados esperados:
- Alívio significativo da dor e do formigamento nos braços
- Melhora ou recuperação da força muscular comprometida
- Estabilização ou melhora dos sintomas de mielopatia
- Recuperação da qualidade de vida e retorno às atividades normais
É importante ressaltar que quanto mais cedo a cirurgia for realizada — antes que o dano nervoso se torne irreversível — melhores serão os resultados. O acompanhamento pós-operatório com o neurocirurgião é fundamental para garantir a melhor recuperação.
A importância de um neurocirurgião especializado em coluna cervical
A coluna cervical é uma região complexa, próxima à medula espinhal e a estruturas vasculares importantes. Por isso, a cirurgia nessa área exige experiência técnica e conhecimento específico.
Nem toda hérnia cervical precisa de cirurgia. Essa decisão deve ser tomada com base em critérios rigorosos, após avaliação detalhada do caso.
Um neurocirurgião especializado pode:
- Confirmar se os sintomas são realmente causados pela hérnia de disco
- Avaliar se o tratamento conservador tem potencial de sucesso
- Indicar a cirurgia apenas quando há real necessidade
- Escolher a técnica mais segura e eficaz para cada caso
- Acompanhar a recuperação e prevenir complicações
Com mais de 15 anos de experiência e mais de 6.000 cirurgias realizadas, o Dr. Bruno Saciloto oferece avaliação detalhada, diagnóstico preciso e tratamento individualizado para cada paciente com hérnia de disco cervical.
Se você apresenta dor no pescoço com irradiação para o braço, formigamento nos dedos ou fraqueza muscular, não adie a avaliação. O tratamento precoce é o que garante os melhores resultados.
Próximo passo
Agende sua consulta agora
Traga seus exames e receba uma avaliação especializada. Quando a cirurgia for necessária, a decisão será sempre sua, com total clareza de informações.
Agendar Consulta pelo WhatsApp