Membro Titular da Sociedade Brasileira de Neurocirurgia
Guarapuava - PR

Artigos do Dr. Bruno Saciloto

Informações claras e confiáveis sobre neurocirurgia, coluna vertebral e tratamentos. Escritas por quem entende do assunto.

Nevralgia do Nervo Trigêmeo
Neurocirurgia

Nevralgia do Nervo Trigêmeo: sintomas, causas e tratamento da dor facial intensa

A nevralgia do nervo trigêmeo é uma das dores mais intensas que uma pessoa pode sentir. Entenda os sintomas, as causas e as opções de tratamento.

Ler artigo
Cirurgia Endoscópica da Coluna Lombar
Cirurgia de Coluna

Cirurgia Endoscópica da Coluna Lombar: o que é e como funciona

A cirurgia endoscópica é uma técnica minimamente invasiva que permite tratar hérnias e outros problemas lombares com recuperação muito mais rápida.

Ler artigo
Hérnia de Disco Cervical
Coluna Cervical

Hérnia de Disco Cervical com Indicação Cirúrgica: quando a cirurgia é necessária

Saiba quando a hérnia de disco cervical requer cirurgia, quais são os sintomas de alerta e como é a recuperação pós-operatória.

Ler artigo
Neurocirurgião: quando procurar
Neurocirurgia

Neurocirurgião: quando procurar e como esse especialista pode ajudar

Entenda o que faz um neurocirurgião, quais sintomas indicam a necessidade de consulta e como ele pode tratar doenças do sistema nervoso.

Ler artigo
Osteoporose e a Coluna
Coluna · Doenças Ósseas

Osteoporose: o que é, sintomas e como a doença afeta a coluna

A osteoporose enfraquece os ossos silenciosamente. Entenda como ela afeta a coluna, quais são os sintomas e quando procurar um neurocirurgião.

Ler artigo
Hérnia de Disco
Cirurgia de Coluna

Hérnia de Disco: sintomas, causas e quando procurar um neurocirurgião

A hérnia de disco é uma das principais causas de dor na coluna. Entenda os sintomas, as causas e quando a cirurgia é realmente necessária.

Ler artigo
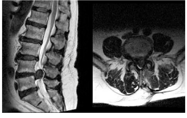
Hérnia de Disco Lombar
Coluna Lombar

Hérnia de Disco Lombar: aspectos clínicos, diagnóstico e tratamento

Uma análise clínica completa sobre a hérnia de disco lombar: como identificar o nível afetado, quais exames pedir e quando indicar cirurgia.

Ler artigo
Dor lombar, pescoço e ciático
Coluna · Dor Crônica

Dor lombar, na coluna, no pescoço e no ciático: quando procurar um neurocirurgião

Essas queixas são muito comuns, mas podem esconder problemas sérios. Entenda o que as une, quando se preocupar e em que momento buscar um especialista.

Ler artigo

Agende sua consulta agora

Traga seus exames e receba uma avaliação especializada com o Dr. Bruno Saciloto, neurocirurgião com mais de 6.000 procedimentos realizados.

Agendar Consulta pelo WhatsApp
Agendar Consulta